La stomatite nel cane e nel gatto: cos'è e come si riconosce
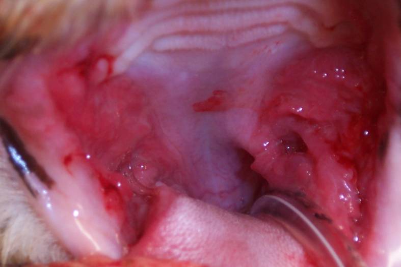
Le stomatiti sono in generale le infiammazioni che possono interessare la bocca del cane o del gatto. Possono decorrere con pochi sintomi o essere chiaramente visibili, ma in generale sono problematiche perché, proprio come succede a noi, l’animale sente dolore quando cerca di ingerire cibo e se il dolore è tanto non lo ingerisce, con i problemi di denutrizione che possono derivarne. È importante rendersi conto che il problema è presente, anche perché spesso gli animali non si lamentano e dobbiamo essere noi ad accorgerci della situazione perché un veterinario possa intervenire il prima possibile.
I tipi e le cause di stomatite
Come dicevamo prima, “stomatite” è un termine generico per indicare un’infiammazione alla bocca. In base alla localizzazione si parla di glossite quando ad essere infiammata è la parte interna della guancia, gengivite quando colpisce le gengive, periodontite quando sono interessate le cavità dentali.
Per quanto riguarda le cause, queste possono essere le più varie, ma per un proprietario è importante conoscere le abitudini del proprio animale perché sapendo qual è la causa possiamo evitare dei ritorni anche dopo l’intervento veterinario.

Tra le cause possiamo annoverare delle infezioni derivanti da batteri, che possono essere curate con gli antibiotici (il tartaro, se permane per molto tempo, può portare ad una periodontite batterica perché c’è dello sporco intorno ai denti che non viene mai tolto); anche alcune malattie virali possono causare queste malattie, che possono diventare gravi. Una è la calicivirosi, che colpisce i gatti e per cui il micio andrebbe vaccinato quando è ancora piccolo.
Se in casa ci sono stati casi di candida, fungo che può colpire le mucose, sappiate può colpire anche i vostri animali, alla bocca, specie se hanno l’abitudine di leccare in giro dove potrebbero assumere i “germogli” del fungo, chiamate ife.
Le infiammazioni possono essere causate dall’ingestione di sostanze estranee. Le processionarie, in particolare, sono tra le più pericolose che possono condurre allo shock anafilattico, per cui è importante agire tempestivamente.
Ma anche sostanze irritanti come l’ortica possono creare infiammazione, o semplicemente il nostro animale può essere allergico a qualcosa. È impostante seguire assiduamente specialmente i cani, che tendono a mangiare di tutto, per cercare di capire quale possa essere il problema.
Per quanto riguarda i gatti, poi, c’é una patologia particolare dovuta ad un’ipersensibilità ad alcune sostanze, chiamata granuloma eosinofilico. Non è un tumore, ma si comporta in modo simile perché è una massa che cresce e deve essere trattata con medicinali specifici con il cortisone. Si localizza di solito in fondo alla bocca ed è molto doloroso per il gatto, ma è difficile da vedere perché si rifiuta di aprire la bocca.
Ci sono poi anche delle neoplasie vere e proprie che possono colpire la bocca. Anche qui, è importante valutare sempre il nostro animale, perché un tumore impiega molto tempo a crescere, quindi è bene guardare molto attentamente la bocca del cane o del gatto specie quando sbadiglia, e contattare il veterinario qualora vedessimo qualcosa di strano. Anche i tumori causano stomatite, perché premono, danno dolore e la carne viva a contatto con il cibo può causare anche ulcerazioni.
I sintomi principali
Come abbiamo appena detto, è importante valutare sempre la bocca dei nostri animali e contattare il veterinario in caso ci rendessimo conto che c’è qualcosa che non va.
Il primo sintomo della stomatite è che l’animale non mangianon mangia, o comunque non mangia come sempre. Se gli diamo il classico croccantino-premio, potrebbe rifiutarlo perché solo la fame vera e propria lo spingerà a sopportare il dolore provocato dal cibo che passa in bocca. Già questo dovrebbe farci insospettire, perché l’animale raggiunge la ciotola del cibo, la annusa, poi torna indietro, poi dopo cinque minuti ci torna, mangia due bocconi, poi smette di nuovo e così via. Cerca di mangiare sopportando il dolore.
Se i problemi riguardano la deglutizione potrebbe esserci anche una perdita di saliva (la bava): le ghiandole salivari la producono di normale, ma se non viene ingerita esce fuori dalla bocca. Si parla di pseudoptilaismo, ed è un sintomo di dolore alla bocca. Nei casi più gravi potrebbe esserci del sangue mescolato alla saliva.
Ovviamente è sempre necessario contattare il veterinario che, con il nostro aiuto specie se il problema sono sostanze irritanti o allergeniche, potrà mettere in atto una terapia medica (o chirurgica, ma solo nei casi più gravi) per risolvere il problema definitivamente, associando eventualmente prodotti da applicare direttamente in bocca per proteggere ed alleviare l'infiammazione.